Гіпофіз найважливіша залоза внутрішньої секреції в людському організмі. Він складається з двох відділів: переднього – аденогіпофіза, і заднього – нейрогипофиза. Її функціонування регулюється либеринами і статинами – гормонами гіпоталамуса.
Зміст:
- 1 Що таке гіпофіз
- 2 Біологічні ефекти гормонів аденогіпофіза
- 3 Біологічні ефекти гормонів нейрогипофиза
- 4 Гіпофункція гіпофіза
- 5 Гіперфункція гіпофіза
- 6 Причини захворювань гіпофіза
- 7 Діагностика захворювань гіпофіза
- 8 Лікування захворювань гіпофіза
Що таке гіпофіз

Гіпофіз
Можна виділити такі функції гіпофіза: регуляція функціонування гипофиззависимых ендокринних залоз, а також розвитку і росту організму, контроль над функціонуванням окремих органів, продукування та виділення меланінів.
Гормони аденогіпофіза поділяються на три сімейства по хімічній природі молекул, принципом синтезу і біологічних ефектів:
- похідні проопиомеланокортина – адренокортикотропный гормон (АКТГ), меланоцитстимулирующий гормон (МСГ), ?-липотропин
- гормони-білки – соматотропін (СТГ), пролактин
- гликопротеиновые гормони – фоллитропин (ФСГ), лютеотропин (ЛГ), тиреотропин (ТТГ)
Біологічні ефекти гормонів аденогіпофіза
АКТГ здатний прискорювати обмінні процеси в клітинах кори надниркових залоз і стимулювати утворення глюкокортикоїдів. Також він діє на жирову тканину – викликає розпад жирів і вихід їх у кров. При стресуванні, травмі, підвищення температури тіла в крові збільшується концентрація АКТГ.
МСГ впливає на шкіру, посилюючи синтез меланіну, і на сальні залози, стимулюючи виділення феромонів.

Гормони гіпофіза
Основна функція ?-липотропина полягає в тому, що він є субстратом для утворення ендорфінів і енкефалінів – «гормонів задоволення».
СТГ керує ростом людини. Після початку статевого дозрівання його дія гальмується. Він регулює обмін речовин, впливаючи на печінку, де утворюються инсулиноподобные чинники зростання. У дорослої людини СТГ при стресі запускає реакції адаптації – сприяє виходу в кров жирних кислот, що представляють собою енергетичний субстрат, і підсилює вироблення лімфоцитів.
Пролактин основний вплив чинить на органи репродуктивної сфери:
- у чоловічому організмі – прискорює ріст сім’яних пухирців і передміхурової залози
- в жіночому організмі діє спільно з ЛГ і прогестеронами — викликає утворення жовтого тіла, у вагітних пригнічує розвиток нового фолікула, сприяє росту молочних залоз після пологів стимулює синтез компонентів молока
Також існує припущення, що пролактин запускає процеси росту плода і бере участь у регуляції обміну речовин.
Гонадотропні гормони (ФСГ, ЛГ) на 4-му місяці внутрішньоутробного розвитку беруть активну участь в диференціювання зовнішніх статевих органів. Під їх впливом зростає виробництво гормонів у статевих залозах і наднирниках. У дорослих людей гонадотропіни контролюють функціонування статевих залоз.
ТТГ впливає на щитовидну залозу. Він стимулює захоплення йоду і його транспортування в клітки залози, що необхідно для утворення тиреоїдних гормонів, а також впливає на розподіл тироцитов.
Біологічні ефекти гормонів нейрогипофиза

Процес пологів
Вазопресин (антидіуретичний гормон – АДГ) і окситоцин синтезуються гіпоталамусом і в неактивній формі переносяться в нейрогіпофіз. Там відбувається їх активація і надходження в кров. АДГ управляє водно-сольовим обміном – зменшує добовий діурез. Під впливом окситоцину починаються пологи — гормон викликає скорочення міоцитів матки, регулює секрецію молока, а також надає ряд впливів на рівні нервової системи: у стресових ситуаціях запускає реакцію пасивного уникнення, сприяє переходу в стан дрімоти і сну, формує батьківську поведінку. Спільно з вазопрессином надає антиболевое вплив.
Гіпофункція гіпофіза
Недолік АКТГ викликає дисфункцію надниркових залоз, найбільш небезпечне зниження продукції кортизолу. З’являються такі симптоми, як слабкість, знижений кров’яний тиск, депресія, часта нудота і блювота.
У людей з дефіцитом СТГ спостерігається карликовість. Зріст чоловіків – не більше 1м, зростання жінок – не більше 90 див. Внутрішні органи у хворих маленькі, мають пропорції, характерні для дитячого організму, шкіра «стареча» — тонка, суха, дуже чутлива до микроповреждениям.

Карлики
Часто дефіцит СТГ і ТТГ поєднується. Якщо зниження рівня тиреоїдних гормонів викликаний падінням концентрації ТТГ, то симптоми будуть схожі з симптомами захворювання щитоподібної залози, але виражені слабше.
Найбільш поширеною дисфункцією АДГ є нефрогенний нецукровий діабет – хвороба Пархона. Цей стан відрізняється тим, що організм має дуже високий добовий діурез – до 30л/добу. (норма – 2-2,5 л). Крайня поліурія пов’язана з неможливістю регуляції стану клітин дистального відділу нефрона і збірних трубочок з боку АДГ.
Недолік ФСГ і ЛГ у чоловіків і жінок призводить до порушень репродуктивної функції, зокрема, до безпліддя. Брак пролактину діагностується вкрай рідко, у жінок призводить до зникнення лактації.
Дефіцит окситоцину призводить до розвитку депресивного стану і порушень сну.
Гіперфункція гіпофіза
Гіперфункція СТГ пов’язана з появою пухлинного утворення в області аденогіпофіза або эктопическим синтезом гормону пухлиною підшлункової залози. Підвищена продукція СТГ в препубертатному віці викликає гігантизм. Пропорції тіла при цьому залишаються нормальними.

Мігрень
Патологічне збільшення рівня СТГ в зрілому віці має такі симптоми: підвищення внутрішньочерепного тиску, мігренеподібні головні болі, погіршення зору, спочатку підвищення працездатності серця, легенів, нирок, а потім різка недостатність. На виражених стадіях хвороби змінюються пропорції тіла та обличчя – хрящова тканина сильно розростається в області стоп, кистей, вушних раковин, носа; збільшується нижня щелепа і валики надбрівних дуг; язик не вміщується в роті.
Часто зустрічається також і гіперпродукція пролактину. У жінок захворювання викликає порушення природного стану репродуктивної сфери – менструальний цикл стає неритмічним, розвивається аменорея, турбує відчуття тяжкості в грудях, галакторея поза вагітності і лактації, у чоловіків – зниження лібідо, збільшення залоз, аналогічних молочних залоз у жінок.
Збільшення продукції АКТГ призводить до порушень психіки, появи діабету, остеопорозу, хвороби Кушинга.
Причини захворювань гіпофіза
Найбільш часто зустрічається причина гіперфункції гіпофіза — це утворення пухлини – аденоми. Концентрація гормону, який продукують пухлинні клітини, зростає, при цьому концентрація інших гормонів падає через здавлювання решти органу. Також можуть порушуватися судини, сусідні нерви і інші відділи мозку. Більшість хворих скаржаться на погіршення зору і головний біль.
Недостатність гормонів гіпофіза може розвиватися внаслідок травми, порушення кровопостачання, обмеження пухлиною, порушення регуляції з боку гіпоталамуса, під дією деяких ліків. Також зустрічається вроджений дефект розвитку залози.
Приблизно 30% жінок після важких пологів, що супроводжувалися великою втратою крові, страждають гіпофункцією аденогіпофіза, яка викликана ішемічним некрозом мозкових тканин.
Причинами порушення регуляції роботи нирок вазопрессином можуть бути: вроджені особливості, при яких не активуються рецептори до гормону, набуті порушення – прийом препаратів, що містять катіони літію, або антибіотиків тетрациклінового ряду – блокаторів рецепторів. Чутливість клітин нирок до АДГ змінюється при деяких станах організму – гіпокаліємії, гіперкальціємії.
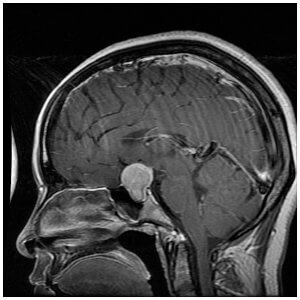
Діагностика захворювань гіпофіза

Обстеження
При підозрі на порушення функціонування гіпофіза необхідно відвідати лікаря-ендокринолога. На підставі анамнезу і скарг пацієнта він призначить обстеження. Найбільш простим способом виявити аденому гіпофіза є рентгенівський знімок. Також показано визначення концентрації гормонів у крові, томограма або магнітно-резонансна томограма. При підвищеному діурезі необхідно дослідження змісту вазопресину.
Якщо є підозра на запалення гіпофіза, проводиться пункція спинного мозку.
Лікування захворювань гіпофіза
Лікування дефіциту гормонів гіпофіза включає в себе тривале, часто довічну замісну терапію. Пацієнту необхідно приймати препарати, що містять необхідні гормони.
Соматотропін призначають лише дітям, страждаючим карликовістю. Клінічних даних щодо прийому СТГ дорослими пацієнтами поки немає.
Спосіб лікування пухлини вибирається залежно від її розміру і характеру. Доброякісні пухлини і кісти підлягають видалення хірургічним шляхом. Для злоякісних утворень цей метод протипоказаний. Також використовується променева терапія, що викликає загибель уражених клітин.
Гіпофіз виконує функції контролю над функціонуванням ендокринних залоз. Порушення його роботи призводить до розвитку важких захворювань. З допомогою сучасних методів лікування можлива корекція дисфункції гіпофіза, але лікування є складним і тривалим.


