Бактеріальний стоматит – запалення слизових оболонок ротової порожнини, спричинене мікробами роду стафілокок або стрептокок. При попаданні бактерій в ранку ротової порожнини вони починають активно розмножуватися і утворюють виразку. Постраждати може як дорослий, так і дитина самого раннього віку.
Зміст:
- 1 Бактеріальний стоматит: що це за хвороба?
- 2 Причини розвитку бактеріального стоматиту
- 3 Симптоми бактеріального стоматиту
- 4 Як лікується бактеріальний стоматит?
- 5 Профілактика бактеріального стоматиту
Бактеріальний стоматит: що це за хвороба?
Якщо слизові оболонки не ушкоджені, немає шансу заробити стоматит, але мікроби зможуть потрапити навіть у микротрещину. Стафілококи і стрептококи присутні всередині організму. Період активного розмноження починається, коли імунітет ослаблений: при хронічних стоматологічних, ЛОР-захворюваннях і т. д.

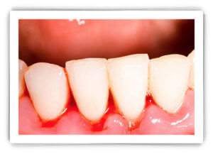
Як виглядає стоматит
Завдати шкоди можуть і інші бактерії. Якщо вчасно не зайнятися лікуванням, то рани будуть розширюватися і поглиблюватися, можуть з’являтися множинні вогнища на всьому роті. Глибокі виразки на твердому небі можуть проникати до самої кістки. Це явище менш поширене і викликано веретеноподібної паличкою або спиротехой Венсана.
Бактеріальний стоматит при несвоєчасному лікуванні переходить на наступну стадію, що характеризується некрозом тканин. Уражена область сильно набрякає, покривається бульбашками.
Причини розвитку бактеріального стоматиту
Найпоширеніша причина появи стоматиту – погана гігієна ротової порожнини. Джерелом бактерій також можуть бути запальні захворювання хронічного характеру у ротовій порожнині або гортані, проблеми з зубами і яснами. Оскільки слина має дезінфікуючі властивості, то зміна її складу може призвести до поширення бактерій.
Інфекція не приживається на цілісної слизовій оболонці, повинна бути тріщина або подряпина, опік, укус. Ризик зараження зростає при прорізуванні зубів у дитини, при неправильно виготовленому протезі у дорослого.
Сприятливим середовищем для розмноження бактерій є перенесені раніше: ГРЗ, бронхіт, отит, ангіна.
Бактерії можуть жити і потрапляти також у здоровий організм, але вони не будуть завдавати йому шкоди. Шкідливі функції активізуються при ослабленні імунітету, наприклад, після перенесеного стресу, при переохолодженні. Мікрофлора прокидається, починає активно розмножуватися.
В лабораторних умовах не складає труднощів визначити вид бактерії, після чого підбирається відповідне ліки, до якого мікроорганізм проявляє чутливість.
Причини, що викликають у людини стоматит:

Укус губи
- недотримання правил гігієни
- хронічні захворювання
- занесення інфекції лікарем-стоматологом
- карієс
- близький контакт з переносником
- використання посуду хворого людини
Бактеріальний стоматит розвивається тільки після потрапляння мікроба на ушкоджену слизову оболонку. Це може бути:
- прикушенная щека
- опіки гарячою їжею
- опіки ліками або засобами для полоскання
- натертості на десні протезами
- зруйновані зуби
Часто у дітей з’являються ранки при вживанні в їжу горіхів, карамельок, при затягуванні в рот сторонніх предметів, від звички гризти нігті.
Симптоми бактеріального стоматиту
Коли стоматит тільки починає розвиватися, пацієнт відчуває дискомфорт під час прийому їжі, особливо це відчувається при вживанні кислих продуктів або напоїв. На наступному етапі слизова оболонка червоніє, з’являється набряк, пацієнт відчуває печіння, свербіж, біль. Вогнище запалення покривається тріщинами, переходить у стан виразки. Слиновиділення посилюється, з рота з’являється яскраво виражений неприємний запах.
Погіршується стан прилеглих тканин, відбуваються зміни в яснах. Десна набрякають, тканини стають рихлими, кровоточать при найменшому дотику. Прийом їжі стає скрутним, вкрай болючим. Виконувати найпростіші гігієнічні процедури стає важко. Далі процес переходить у некроз, тканини невозвратимо руйнуються.
Вже через кілька днів після початку запального процесу організм дає загальну відповідь. З’являється слабкість, головний біль і біль у суглобах, підвищується температура. Якщо бактерії опустяться на мигдалини, то може з’явитися ангіна, тонзиліт.
Стоматолог-терапевт може за зовнішніми ознаками диференціювати бактеріальний стоматит. Вогнища мають овальну форму, чіткі рівні краю, зверху слизова вкрита жовто-сірим нальотом. Десна вже не пружні, при впливі на них відразу починають кровоточити, з рота виходить гнильний запах.
Найчастіше ослабленість організму спостерігається у дітей, а не дорослих, погіршується апетит. У спокійному стані виразки можна не відчувати, гостра біль виникає при русі слизових навіть під час розмови.
Відмітні ознаки поверхневого бактеріального стоматиту:

Ясна кровоточать
- загальна слабкість організму
- біль під час прийому їжі
- посилене слиновиділення
- білий наліт на язиці
- рихлість і кровоточивість ясен
- посилення припливу крові до слизових оболонок
Наступна стадія глибокого або виразково-некротичного стоматиту відрізняється такими симптомами:
- порушення сну, головний біль
- характерний запах з рота
- кровоточивість ясен
- наявність виразок покриті сірим нальотом
- глибокі виразки з ознаками розпаду тканин
Як лікується бактеріальний стоматит?
Щоб позбутися від стоматиту як можна швидше, потрібно використовувати цілий комплекс препаратів. Основні — це антибіотики, протизапальні засоби та імуностимулятори. Залежно від тяжкості захворювання призначаються знеболюючі гелі та спреї.
Для обробки рани використовуються антисептичні ліки, випущені в різних формах (мазі, присипки, спреї).
Спеціальні лікувальні розчини завдає лікар-стоматолог у вигляді аплікацій. Додатково застосовуються народні кошти. Знімають запалення відвари ромашки, календули, звіробою, перстачу, сік моркви, капустяний лист, сік алое і каланхое. У домашніх умовах рекомендується полоскати ротову порожнину перекисом водню.

Прийом антибіотиків
Якщо стадія захворювання перейшла у некроз, то потрібно більш ретельне лікування. В клінічних умовах проводиться операція по видаленню відмерлих тканин, після цього ротова порожнина санируется. Подальше лікування виписується лікарем виходячи з картини.
Самолікування в даному випадку виключається, оскільки потрібно чітко визначити збудника хвороби і підібрати препарат, до якого будуть чутливі бактерії. Це може зробити тільки лікар в лабораторних умовах. Якщо спочатку будуть прийматися невідповідні препарати, то хвороба прогресуватиме, що загрожує ускладненнями.
На початковому етапі використовуються антисептики для усунення бактерій. Найпоширеніший – це Хлоргексидин. Додатково лікар підбирає протизапальний гель, який також володіє знеболюючим ефектом. Після проходження гострої фази застосовуються епітелізуючі кошти для загоєння слизових.
Якщо форма захворювання перейшла в більш важку, призначаються антибіотики. Особливо, якщо стоматит викликали хронічні або гострі запалення інших внутрішніх органів. Існують мазі, у складі яких присутній антибіотик, можна приймати і таблетки, все залежить від показань.
Багато дарма ігнорують прийом імуностимуляторів. Вони допоможуть швидше впоратися з хворобою і усунути ризик рецидиву.
Застосовують такі знеболюючі і загоюють препарати: Метрогіл Дента, Лидохлор, Гексорал табс, Винилин, Евкаліпт М, Гексорал.
Профілактика бактеріального стоматиту
Виконуючи ряд простих заходів, можна ніколи не дізнатися, що таке бактеріальний стоматит. Правила потрібно дотримуватися і під час захворювання, щоб полегшити симптоми і прискорити одужання.
В їжу повинні вживатися продукти, які не травмують слизову оболонку рота. Раціон повинен бути повноцінним, багатий білком і вітамінами, молочними продуктами. Імунітет завжди повинен бути на високому рівні, не варто допускати перехід хвороби в хронічну стадію.
Бактеріальний стоматит запобіжать наступні заходи:
- корисний раціон
- ретельна гігієна ротової порожнини
- відсутність контакту з переносником бактерій
- вимиті руки
- відсутність подряпин у роті
- професійна санація порожнини рота
Якщо людину наздогнав бактеріальний стоматит, не слід лякатися, слизова оболонка людини відновлюється дуже швидко. Головне вчасно звернутися до лікаря і виконувати всі рекомендації.


