Гіперплазія ендометрія може з’явитися в будь-якому віці. Найчастіше з проблемою стикаються дівчатка-підлітки під час гормональних змін. Другий пік перебудови відбувається в період менопаузи. Своєчасне проходження профоглядів дозволить уникнути оперативного втручання і самого складного ускладнення – безпліддя.
Зміст:
- 1 Причини появи
- 2 Сучасна класифікація
- 3 Симптоми і ознаки
- 4 Діагностика
- 5 Лікування гіперплазії ендометрія
- 6 операційними методами Лікування
- 7 Лікування гіперплазії народними методами
- 8 Вплив гіперплазії ендометрія на поточну і майбутню вагітність
Причини появи
Кожен раз під час менструального циклу ендометрій збільшується на кілька міліметрів, це нормальний фізіологічний стан. Патологічний стан передбачає значне потовщення і розростання тканин.
Що може спровокувати розвиток гіперплазії ендометрія:

Гіперплазія ендометрія
- дисбаланс жіночих статевих гормонів
- хронічні захворювання статевих органів
- попередній аборт
- оперативні втручання на матку або придатки
- цукровий діабет
- гіпертонія
- аденоміоз
- гінекологічні захворювання: ендометріоз, ендометрит, поліпоз яєчників, поліпоз матки, міома матки
- відсутність пологів
- генетична схильність
Проблема є доброякісною і підлягає лікуванню. Якщо запустити захворювання, то воно може придбати злоякісний характер і привести до безпліддя.
Сучасна класифікація
Матка щомісяця зазнає змін. Слизова оболонка розростається, оновлюється. Якщо яйцеклітина не була запліднена, то відбувається менструація і слизова оболонка набуває початкові розміри. На місці ендометрія, який вийшов, утворюється новий шар і так відбувається кожного місяця.
Гіперплазія ендометрію має наступну класифікацію:
- залозиста
- залозисто-кістозна
- вогнищева (поліпи)
- атипова
Судячи по назві можна диференціювати підвиди гіперплазії. Атипова є передраковим станом, в 10% випадків аденоматоз обертається злоякісним станом.
Залізисті і фіброзні поліпи не перетворюються на злоякісні утворення, але є передумовою для розвитку атипової гіперплазії.

Ракові утворення
Друга класифікація дозволяє визначити тяжкість захворювання, вибір схеми лікування та подальший прогноз.
Симптоми і ознаки
Головний симптом, який має послужити сигналом для звернення до лікаря є кров’яні виділення протягом місяця. Виділення бувають або в межменструальный період, або після затримки менструації. В здоровому стані місячні повинні носити помірний характер, можуть бути мажущими. При гіперплазії рясні місячні, з кров’яними згустками. Такі виділення можуть призвести до недокрів’я.
Якщо причиною є гормональний збій і підвищений рівень естрогенів, то крім розростання слизової відбувається відсутність овуляція і як наслідок-безпліддя.
Приводом для проходження обстеження є ненастання вагітності протягом півроку, кров’янисті виділення.
Симптоми гіперплазії часто плутають з ознаками міоми матки, загрозою викидня.
Пацієнти, яким ставлять діагноз гіперплазії ендометрія, звертаються до гінеколога з наступними ознаками гіперплазії ендометрія:

Тягнучі болі
- нерегулярний менструальний цикл
- затримка
- тривалі рясні менструації
- сукровичні виділення
- маткові кровотечі
- хворобливі місячні
- виділення в середині циклу
- неможливість завагітніти більше 6 місяців
Зайвий ендометрій не може накопичуватися і періодично відшаровується, звідси з’являються виділення. Ендометрій не може утримати яйцеклітину, тому трапляється безпліддя. Іноді жіноча статева клітина навіть не формується.
На комфорт життя гіперплазія не впливає, під час сексу не виникає дискомфорту і болю. Після статевого акту також бувають мажучі виділення.
Якщо у жінки вже настав клімакс, то кровотечі нагадують менструацію, відбуваються з такою ж періодичністю. Після кровотечі з’являються мажучі виділення, через місяць все повторюється.
Циклічні кровотечі тривають до 3-х тижнів і починаються в перший день місячних. Ациклічні більше двох тижнів і починаються між менструаціями. Дівчата репродуктивного віку помічають кров’яні згустки під час менструацій.
Якщо захворювання має складну запущену форму, в області паху і яєчників відчувається біль.
Діагностика
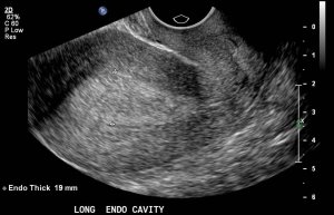
Лікар вже при первинному візуальному огляді може припустити, що у жінки гіперплазія ендометрію. Для остаточної постановки діагнозу потрібно пройти ультразвукове дослідження.
Проводиться УЗД органів малого тазу. Воно дозволяє отримати наступні дані:

УЗД гіперплазії
- локалізація потовщень
- товщина наросшего ендометрію в міліметрах
- наявність поліпів
Якщо ендометрій незмінний, то його товщина складе приблизно 9,8 мм, якщо є гіперплазія, товщина ендометрія підвищується до 15,4 мм, при железистом раку товщина перевищує 20 мм.
Другий метод дослідження гістероскопія. Вводиться спеціальний оптичний прилад, який дозволяє побачити порожнину матки. Для діагностики вмісту робиться вискоблювання. Отримана слизова оболонка відправляється на гістологічне дослідження. Це дозволить визначити форму захворювання і метод подальшого лікування. Забір матеріалу для лабораторного дослідження проводиться перед початком менструації.
Третій метод діагностики – аспіраційна біопсія. Для достовірності результату потрібно бути впевненим, що тканина взята з вогнища гіперплазії, а не на здоровому ділянці. Забір проводиться спеціальним інструментом у другій половині циклу.
Проводиться діагностика гормонального фону. Досліджується рівень жіночих статевих гормонів, щитовидної залози і надниркових залоз.
Профілактичний огляд, при якому лікар може виявити гіперплазію ендометрію, дає можливість виключити передракові стани і безпліддя.
Якщо залозиста гіперплазія з’являється знову після гормонотерапії та вискоблювання, то вона має негативний прогноз. За таким станом потрібно постійний контроль і своєчасне лікування.
Точність УЗД становить 60%, точність гістероскопії 95%.
Визначити прохідність маткових труб і одночасно стан порожнини матки можна з допомогою методу ехогістеросальпінгографії. Рідше використовується радіоізотопне дослідження. Діюча речовина – радіоактивний фосфор вводиться в вену. Через кров хімічний елемент розноситься по організму і проникає тільки в уражені тканини ендометрія.
Лікування гіперплазії ендометрія

Оральні контрацептиви
Навіть якщо гіперплазія протікає безсимптомно і не турбує пацієнтку, вона потребує невідкладного лікування в будь-якому віці. Найефективніший метод – хірургічний (вишкрібання). Операція планова, проводиться в умовах стаціонару.
На початкових етапах захворювання можна відмовитися від операції на користь комплексного медикаментозного лікування. Лікування триває від 3-х до 6-ти місяців. Після закінчення терапії робиться контрольна біопсія.
Лікар оцінює форму і занедбаність захворювання, вік пацієнта і загальний стан здоров’я. Тривалість і метод лікування підбирається індивідуально. Поліпи не лікуються, їх можна тільки видалити.
Призначають наступні медикаменти:
- протизаплідні таблетки
- агоністи гонадотропін рилізинг-гормони
- гестагени
Щоб слизова оболонка перестала розростатися, потрібно налагодити гормональний баланс. З допомогою препаратів можна домогтися підвищення рівня прогестерону і зниження естрогену.
АГнРГ (агоністи гонадотропін рилізинг-гормони) – є найкращим препаратом у даній сфері. Залежно від показань таблетку приймають всього 1 раз у кілька тижнів, доза може змінюватися. Перестають вироблятися статеві гормони, зупиняється атрофія стінок матки. Ліки допомагає навіть у найбільш серйозних випадках, коли показано видалення матки.
Оральні контрацептиви дають ефективність у підлітків і дівчат, які не народжували. Таблетки дозволять врегулювати менструальний цикл, усунути болі, зробити менструальні виділення менш рясними. Тривалість лікування не менше півроку.
Синтетичні аналоги прогестерону призначають при всіх формах захворювання в будь-якому віці. Курс лікування від 3 до 6 місяців. Позбутися від кровотечі допоможе гестагенний препарат Дюфастон. Мінімальна тривалість лікування 3 місяці. Таблетки приймаються щомісяця з 16 по 25 день менструального циклу. Доза залежить від симптомів і свідчень.
Антиестрогенною ефектом володіє Норколут. Схема застосування аналогічна Дюфастону. Таблетки дозволяють зупинити кровотечі.
Одночасно лікувальним і протизаплідним ефектом володіє гормональна внутрішньоматкова спіраль Мірена (місцеві гестагени). Тривалість лікування 5 років. На початку лікування можуть бути кровотечі, менструації можуть стати більш болючими. Спіраль постійно надає гормональний вплив на стінки матки.
Лікування операційними методами
Операції також бувають різні. Перший метод – вискоблювання. Вишкрібання застосовується і для діагностики. Метод дозволяє видалити розрісся шар, зупинити кровотечу. Частина видаленого матеріалу відправляється в лабораторію на дослідження. Якщо будуть виявлені атипові клітини, то за пацієнткою потрібно більш ретельне спостереження, щоб не допустити рецидиву захворювання.

Кріодеструкція
Для профілактики і лікування легких стадій застосовується кріодеструкція. Нездорові вогнища видаляються під впливом низьких температур. Збільшений шар видаляється, нормальні судини не зачіпаються.
Уражену ділянку може бути видалений за допомогою лазера або припіканням високими температурами хірургічним інструментом. Усуваються тільки патологічні вогнища, далі слід природне відновлення слизової оболонки.
У крайніх випадках вдаються до видалення матки. Якщо дівчина не народжувала або планує мати дітей, то матку рятуватимуть до останнього. Якщо жінка пременопаузного віку, то більш ефективного методу лікування немає. Якщо яєчники здорові, то їх зберігають. Операція є профілактикою раку.
Після операції продовжується тривалий гормональне лікування.
Лікування гіперплазії народними методами
Народні засоби застосовують паралельно з медикаментозною терапією. В іншому випадку лікування виявиться малоефективним. Обов’язково потрібно порадитися з лікарем. Деякі трави мають у складі фітогормони.
Вирівнює гормональний фон і гірудотерапія. Лікування п’явками виявляється позитивний ефект майже при всіх захворюваннях.

Лопух
Вплив гіперплазії ендометрія на поточну і майбутню вагітність
При гіперплазії завагітніти неможливо. Якщо вагітність вже наступила, тобто ризик викидня. При патологічному стані слизової матки ембріон не може закріпитися.
Вагітність може настати, якщо ураження ендометрія осередкове. Тоді ембріон закріплюється і починає розвиватися на здоровому ділянці. Постійний контроль і лікування у гінеколога обов’язкові в такому випадку.
Чи можна завагітніти після вилікуваним гіперплазії? В момент хвороби це виключено, після одужання є всі умови для нормального зачаття і вагітності.
Якщо жінка поки що не хоче дітей, то лікування проводиться за допомогою оральних контрацептивів. Зачати дитину можна після скасування прийому препарату. Або ж проводиться щадна терапія іншими гормональними таблетками. Це виключає ризик розвитку безпліддя та інших ускладнень.
Велика кількість звернень в клініку з приводу безпліддя закінчуються лікуванням гіперплазії ендометрія. Чим раніше виявити проблему, тим легше її вилікувати без хірургічного втручання. Запущена гіперплазія може стати передраковим станом.


