Позаматкова вагітність є небезпечною патологією, яка загрожує життю жінки. На її частку припадає приблизно 2% від загальної кількості вагітностей. При несвоєчасно поставлений діагноз жінка ризикує померти від больового шоку та крововтрати.
Зміст
Позаматкова вагітність: ознаки
Якщо зигота (запліднена клітина) зіткнеться з гормональними проблемами в організмі, процедура запліднення буде порушена. І велика ймовірність розвитку патології, включаючи позаматкову вагітність.
Що таке позаматкова вагітність, чим відрізняється від звичайної
Існує дві стадії патології: прогресуюча і прервавшееся. Запліднена яйцеклітина при патологічній вагітності направляється в маткову трубу. Там вона прикріплюється. У жінки на ранньому терміні відбуваються ті ж зміни, які притаманні звичайній вагітності. Тому розпізнати патологію на ранньому терміні важко. Але плодове яйце зростає. Маткова труба розтягується до певного моменту і лопається. У цій ситуації жінку треба рятувати від кровотечі.
Як часто зустрічається
Позаматкова вагітність зустрічається нечасто. Приблизно в 2% випадків від загального числа вагітностей.
Як визначають: діагностика
Перш за все, жінка звертає пильну увагу на симптоми. При наявності позитивної відповіді тесту:
- больові відчуття внизу живота (переростають у гострі);
- ймовірно поширення больових відчуттів по всьому животу у разі прориву фаллопієвої труби;
- кров’яні виділення;
- біль при сечовипусканні;
- запаморочення;
- потерясознания.
Тести набеременность показують її наявність. І це не залежить від місцезнаходження плодового яйця. Але при патології вміст ХГЛ нижче.
Виходячи з цього, тести не можуть дати стовідсотково позитивний результат на вагітність.
Якщо тест не дає позитивного результату, але жінку турбують симптоми і ознаки патології, вона звертається до лікаря.
Рівень ХГЛ є достовірним способом встановлення вагітності. Діагностувати внематочное протягом зі стовідсотковою ймовірністю можна по розриву труби. Це трапляється із-за того, що ембріон починає підростати, а труба в обсязі невелика для нього. Вона розтягується до певного моменту, після якого лопається. Часто супроводжується втратою свідомості. У цьому стані жінці показана термінова госпіталізація.
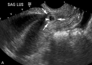
Видно на УЗД на ранніх термінах, як візуалізується
За допомогою УЗД дослідження патологія виявляється за ознаками:
- всередині порожнини матки плідного яйця немає;
- матка не збільшена;
- на одному з придатків спостерігається утворення;
- рідина позаду матки (при розриві труби).
Буває токсикоз
На раннемэтапе патологічного стану жінки, вона нічим не відрізняється від звичайної вагітності. Жінка може відчувати ознаки токсикозу.
Значення ХГЛ, динаміка
Коли яйцеклітина кріпиться до стінок матки, рівень ХГЛ підвищується кожні 2 доби. При зростанні плодового яйця поза маткою такої динаміки спостерігати не можна. Якщо лікарі підозрюють наявність патології, вони неодноразово беруть аналіз на ХГЛ.
Чи може гінеколог визначити при огляді
При отриманні позитивних результатів тесту більшість жінок направляється до гінеколога. Лікар повинен визначити ознаки настала вагітності:
Матка збільшується при вагітності. Лікаря нескладно встановити це. Форма матки змінюється: при пальпації це видно з допомогою дворучного обстеження пацієнтки. Придатки можуть бути збільшені, як і яєчники. При будь-якому виявленні відхилення від норми лікар негайно призначає УЗД.
Вагітність під час ручного огляду лікар може виявити не раніше 5 тижня. Діагноз «позаматкова вагітність» ж ставиться гінекологом тільки після результатів УЗД дослідження!
Можна визначити тестом
Існує спеціальний тест-касета, який дуже чутливий. Дослідження здатне показати в організмі жінки наявність патологічної вагітності, але не дає стовідсоткової гарантії. Придбати можна в аптеках,
Як дізнатися в домашніх умовах
В домашніх умовах, найчастіше, жінки визначають вагітність по затримці місячних, позитивного результату тесту. Визначити на ранньому терміні патологію не можна. Позаматкова вагітність – серйозний діагноз, що вимагає втручання фахівця. Його ставлять тільки в лікарнях.
На якому терміні проявляються ознаки
Перший місяць патологічна вагітність має схожість зі звичайною. У жінки відсутня менструація, спостерігається токсикоз, яйцеклітина зростає. По мірі її розвитку, вона збільшується в розмірах. Перші ознаки патології спостерігаються на строк від 5 до 8 тижнів, все залежить від того, в яке місце приліпилося плодове яйце:
Які ознаки позаматкової вагітності можуть бути на ранніх термінах
Ознакою виступає гостра, однобічний біль, що локалізується в нижній частині живота. Нечасто спостерігається підвищення температури.
Біль наростає, з піхви спостерігаються кров’яні виділення. Вони можуть припинитися на якийсь час, але потім знову поновитися.
Біль у грудях
При позаматкової вагітності відчуття в грудях аналогічні звичайної. Груди набухає, іноді жінка відчуває дискомфорт.
Йдуть місячні
При цій патології місячні йти не можуть. Жінка помилково може за них прийняти кров’янисті виділення, які виникають із-за патології.
Коли з’являються кровотечі
Вони можуть з’являтися на 5, 8 тижня. Існує кілька причин кровотечі при позаматкової патології. Воно помилково приймається за місячні:
Токсикоз
Токсикоз може супроводжувати жінку на ранніх термінах позаматкової вагітності. В цьому сенсі не існує ніяких відмінностей від відчуттів, які виникають при звичайному, стандартному перебігу вагітності.
Які болі при розриві труби
Жінка відчуває сильний біль одностороннього характеру внизу живота. Поступово вона поширюється на всю його нижню частину.
Може протікати без симптомів
Тільки на термін до 5 тижнів. Потім жінка почне відчувати на собі ознаки патології вагітності: болі, виділення, підвищення температури.
Небезпечні моменти і ускладнення
Розрив труби може призвести до великої крововтрати, як наслідок, смерть жінки. Тому важлива своєчасно надана допомога. Якщо плідне яйце вийшло саме, необхідно вишкрібання в умовах лікарні. Ця процедура іноді призводить до виникнення запального процесу в органах малого тазу. Якщо запалення не вилікувати, то утворюються спайки на трубах, які в подальшому можуть перешкоджати вагітності.
Як лікується позаматкова вагітність
Декількома способами:
Медикаментозне переривання
Медикаментозний спосіб практикується лікарями не часто. Його суть полягає у введенні в організм спеціального препарату під назвою Метотрескат. Він вбиває зародок, сприяє його виведенню з організму.
Хірургічне лікування
Найчастіше лікування проводиться методом лапароскопії. Це малотравматичний для жінки метод, операція проходить під загальним наркозом. Жінка не відчуває неприємних відчуттів, спеціаліст вводить в черевну порожнину спеціальний інструмент під контролем УЗД. Потім витягує плодове яйце з просвіту матки.
Також проводиться лапаротомічна операція. Вона здійснюється рідше порівняно з першою. До її проведення є одне свідчення – крововтрата, загрозлива жінці. Операція несе в собі високий ризик безпліддя, важка для лікаря.
Чи можна виносити дитину
Дитину виносить при позаматкової патології не можна. Ходять чутки про те, що народилася здорова дитина, який перебував у черевної порожнини жінки, але достовірності ці домисли так і не отримали.
До яких строків виношується позаматкова вагітність
Приблизно до 8 тижнів в середньому. Все дуже індивідуально.
Може бути повторно
Ніхто не застрахований від повторної патології. Лікарі кажуть, що запалення органів малого тазу, а також схильність можуть стати основними причинами повторення позаматкової вагітності у жінки.
Як запобігти
Необхідна відновлення після операції з видалення плодового яйця. А також якщо яйце виходить само, після вискоблювання. Не можна вагітніти протягом 6 місяців після операції.
Перспективи для природної вагітності
Слід пройти повне обстеження у лікаря. Обстеження проводиться з метою усунення всіх чинників, які призвели до позаматкової вагітності.
Через скільки можна вагітніти
Планувати наступну вагітність можна через 6 місяців.
Щоб не допускати розриву маткової труби, необхідно при перших ознаках вагітності негайно йти до лікаря. Потрібно встановити наявність вагітності, а також відсутність патології.


