Зневажливе ставлення до своїх зубів може призвести до того, що людина їх втратить раніше часу. Найменше захворювання зубів і ротової порожнини вимагає негайного втручання стоматолога. Якщо зуби лікувати вчасно, не нехтувати профілактичними заходами і не забувати про гігієнічних процедурах, насолоджуватися білосніжною посмішкою можна буде довго. В іншому випадку збільшується імовірність того, що почне розвиватися пародонтит.
Зміст:
- 1 Що таке пародонтит
- 2 Симптоми хвороби
- 3 Причини появи хвороби
- 4 Особливості появи хвороби
- 5 Рекомендації нетрадиційної медицини
- 6 Рецепти лікування пародонтиту будинку
- 7 Профілактика хвороби
- 8 Лікування пародонтиту мазями, пастами, гелями
Що таке пародонтит
Щоб зрозуміти, що таке пародонтит, потрібно ознайомитися з деякими визначеннями.
Пародонт – сукупність тканин, що оточують зуб і дозволяють його утримувати в щелепних кістках. У цей комплекс входять:

Що відбувається з зубами
- десна
- цемент кореня зуба
- периодонтальная зв’язка
- кісткова тканина альвеолярних відростків
Коли пародонт піддається захворюванню, запальний процес зачіпає або частину зазначеної сукупності тканин, або весь комплекс тканин в цілому.
Пародонт виконує наступні функції:
Коли розвивається пародонтит, виконання цих функцій призупиняється або зовсім припиняється.
Пародонтит – це запалення пародонту, при якому нормальна структура альвеолярного відростка щелепи прогресуюче руйнується, роблячи обсяг близько зубної кістки менше.
Симптоми хвороби
Залежно від ступеня розвитку хвороби симптоми пародонтиту можна класифікувати за стадіями:

Оголюються корені
- перша (людини практично не турбують больові відчуття, рухливість зубів не характерна, глибина кишені пародонту не більше 3,5 мм)
- друга (глибина кишень пародонту близько 5 мм, вона поступово збільшується, зуби починають рухатися і реагувати на гарячу і холодну їжу і напої, з’являються проміжки між зубами)
- третя – важка стадія (глибина кишені пародонту може досягати 6 мм, спостерігається набряклість слизової оболонки порожнини рота, зуби розхитуються і зміщуються, ясен може виділятися гній)
Якщо є підозра на те, що розвивається пародонтит, симптоми якого різні для кожної стадії хвороби, потрібно негайно відвідати стоматолога з метою консультації та призначення комплексу оздоровчих заходів.
Загальні симптоми пародонтиту:
- організм людини починає погано себе почувати
- під час чищення зубів ясна кровоточать
- у роті відчувається неприємний запах і присмак
- зуби стають чутливими до різних подразників (солодке, гаряче, кисле, холодне)
- під час їжі ясна кровоточать
- корені зубів оголюються (виснажуються тканини, що оточують зуб)
- ясна стають запаленими і болять
Якщо знехтувати відвідуванням стоматолога і не почати лікувати захворювання, надалі може знадобитися хірургічне втручання. Також запущені форми хвороби спричиняють за собою необхідність дорогої реставрації зубів.
Причини появи хвороби
Причини пародонтиту різноманітні, тому потрібно докладний розгляд етіології виникнення цього захворювання, основні причини якого наступні:

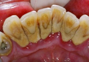
Зубний камінь
- утворення на зубах каменю
- порушення в обміні речовин, балансі вітамінів
- перебої в роботі ендокринної системи
- алергічні та аутоімунні стану
- дефіцит мікроелементів і вітамінів
- навантаження на зуби розподіляється неправильно
- розмноження мікробів в порожнині рота
- захворювання внутрішніх органів
- проблеми в шлунково-кишковому тракті і серцево-судинної системи
Для встановлення точної причини появи і розвитку пародонтиту рекомендується відвідувати тільки професійних стоматологів, які мають необхідний досвід, підкріплений стажем і позитивними відгуками клієнтів.
Особливості появи хвороби
Основна причина розвитку пародонтиту – утворення зубного нальоту. Тверднучи, він перетворюється на зубний камінь. Утворення зубного каменю сприяє зменшення виділення слини, яка очищає порожнину рота. Її кількість може зменшитися за рахунок прийому антидепресантів та протизапальних препаратів. Якщо очищення порожнини рота проходить несвоєчасно, створюються найкращі умови для швидкого утворення зубного каменю, який є причиною розвитку захворювання.
Пародонтит розвивається, коли організму не вистачає мікроелементів і вітамінів. Дефіцит кальцію негативно позначається на зубощелепної і всієї кісткової системи в цілому. Коли організму не вистачає вітаміну С, відбувається зниження міцності сполучної тканини, що провокує розвиток хвороби.
Коли людина їсть тільки м’яку їжу, його зуби не отримують потрібної їм навантаження, що пригальмовує процес їх самостійного очищення. Багато людей вважають за краще жувати виключно зубами одного боку щелепи, що призводить до нерівномірного розподілу функціонального навантаження. Як результат – розвиток хвороби.
Запалення пародонта відбувається по причині присутності в смужки порожнині різних мікроорганізмів. Їх кількість можна зменшити, якщо постійно в роті підтримувати стабільну і постійну мікрофлору. Недостатня гігієна її руйнує, так як мікроорганізми починають уражати слизову оболонку ясен, а потім і більш глибокі тканини.
Рекомендації нетрадиційної медицини
Перш, ніж дотримуватися рекомендацій народної медицини, потрібно відвідати стоматологічний кабінет і позбавити свої зуби від зубного каменю. Це збільшить шанси хворого вилікувати захворювання нетрадиційними методами.
При пародонтиті рекомендується лікуватися відварами і настоями, приготованими з лікарських рослин. Добре себе зарекомендували:

Звіробій
- звіробій
- ялівець
- трава калгану
- календули квітки
- живокіст
- квіти липи
- фіалка триколірна
- кора дуба
- листя щавлю
- брусничні листя
- аїр
- перстач прямостоячий
Відвари і настої можна готувати як з одного виду рослин або трав, так і багатокомпонентні збори. Рекомендується полоскати рот настоєм зеленого чаю або чайного гриба.
Лікування методами народної медицини повинно здійснюватись курсами, тому результату досягти швидко не вийде.
Поряд з лікуванням методами нетрадиційної медицини потрібно масажувати хвору десну тампоном з вати, змоченим в розчині олії ялиці і риб’ячого жиру. Отримати додатковий масаж можна шляхом чищення зубів спеціальним порошком, у складі якого присутній аїр звичайний.
Рекомендації народної медицини дають можливість вилікувати пародонтит в домашніх умовах. Якщо брати до уваги практичний досвід, нетрадиційні методи лікування є цілком ефективними. Однак така ефективність безпосередньо залежить від самого хворого: всі процедури та рекомендації народної медицини повинні строго і систематично виконуватися. В іншому випадку очікуваного результату не буде.
Рецепти лікування пародонтиту будинку
Деякі збори і відвари рекомендується використовувати в якості додаткового засобу. Вони допомагають прискорити лікування пародонтиту.

Живокіст
Профілактика хвороби
Після успішного лікування пародонтиту захворювання може проявитися, якщо:
- не приділяти належної уваги гігієні порожнини рота
- не відвідувати стоматолога хоча б один раз у півроку
- не відмовитися від спиртного і куріння
- чистити зуби не менше двох разів на день
- вживати в їжу шкідливу для здоров’я їжу
Після консультації зі стоматологом потрібно почати застосовувати мазі, гелі та пасти, що володіють лікувальними властивостями і здатні оздоров впливати на захворювання.
Лікування пародонтиту мазями, пастами, гелями
Всі мазі, призначені для лікування запалення ясен, складаються з жирової основи, до якої додаються лікарські компоненти. Тому ефективність таких препаратів не настільки висока, як хотілося б. Використовуючи мазь, в порожнині рота створюється свого роду бар’єр, який перешкоджає проникненню в слизову оболонку ясен лікарських компонентів.
Пасти для лікування запалення в області ясен діють симптоматично – вони усувають кровоточивість, набряклість, хворобливі відчуття. Це говорить про те, що вони не усувають причину хвороби.
Сучасні гелі для лікування пародонтиту зарекомендували себе краще, ніж мазі і пасти. Вони не створюють перешкод для проникнення лікарських компонентів у слизову оболонку ясен, що сприяє якнайшвидшому одужанню.
Використовуючи для лікування пародонтиту мазі, гелі та пасти, потрібно пам’ятати, що основна причина хвороби – зубний камінь і наліт у порожнині рота. Використовуючи засіб, але не очистивши зуби і ротову порожнину, запальний процес буде тривати, але він буде протікати без симптомів, що загрожує в майбутньому неприємними наслідками.
Щоб уникнути пародонтиту, гігієна порожнини рота повинна бути на високому рівні.


