Батьки уважно стежать за стільцем дитини. Регулярний стілець оформлений свідчить, що шлунково-кишковий тракт у порядку. Зелений пронос у дитини – сигнал, що в травній системі стався збій. Особливе занепокоєння викликає розлад стільця у немовляти. Новонароджені діти не можуть інакше показати батькам, що їх щось турбує. Зелений рідкий стілець у малюка нерідко вказує на захворювання органів ШКТ.
Причини зеленого проносу у дітей
Стілець із зеленню може виникати раптово, і не завжди свідчить про патології в організмі дитини. Причин виникнення діареї у дітей багато. Наприклад, неправильне харчування годуючої мами, прогалини в харчуванні у однорічної дитини і старших дітей. Окремі здатні викликати ускладнення і представляти реальну загрозу здоров’ю і життя малюка.
Причини зеленого проносу у дитини:
- Захворювання нирок.
- Кишкова інфекція.
- Харчове отруєння.
- Кишковий дисбактеріоз.
- Помилки в харчуванні.
- Кишкова кровотеча.
- Алергічна реакція на продукти.

У місячного малюка причина може бути у виведенні меконію. Якщо дитина спокійна, не плаче, паніка недоречна. Такий стілець проходить швидко. Якщо спостерігається зелений пронос у грудної дитини старшого віку – велика ймовірність кишкової інфекції. Гострий пронос супроводжується нудотою, частими зригуваннями, виникає блювота, підвищена температура тіла.
При підозрі на захворювання належить негайно викликати лікаря або швидку допомогу. До візиту педіатра дитині 6 місяців дають пити мінеральну негазовану воду.
Якщо годуюча мама вживає продукти, здатні викликати алергію, реакцією малюка може бути діарея неприродного забарвлення. Молоко у мами недостатньо жирне – кал зеленуватого відтінку. Харчове отруєння матері позначається на консистенції та забарвлення випорожнень немовляти. У місячного немовляти кишечник вразливий. Мамі потрібно дотримуватися правильного харчування.
Приблизно в 4 місяці при прорізуванні зубів можуть з’являтися рідкі випорожнення жовтого або зеленого забарвлення. Набряклі, сверблячі десни немовля чухає за допомогою нечистих кулачків або іграшок, бактерії потрапляють всередину, змінюють колір, консистенцію вмісту підгузника.
У дітей з 2-3 років причина рідкого стільця у переїданні рослинної їжі або їжі з великим вмістом цукру.
Діарея у новонародженого на штучному вигодовуванні може бути викликана введенням нової молочної суміші.
Введення прикорму
Рідкий кал зеленого кольору при грудному вигодовуванні часто трапляється, якщо мама починає вводити прикорм. Особливо, якщо серед нових продуктів присутній коров’яче молоко, фрукти і овочі. Якщо загальний стан маленького не викликає побоювань – він веселий, не вередує і добре їсть, панікувати не варто. Досить в черговий прийом повідомити педіатра про розладі. Можливо, лікар порекомендує здати аналіз на дисбактеріоз і призначить пробіотики. Стілець нормалізується протягом двох днів.

Дисбактеріоз
Часте явище у дітей, що характеризується порушенням складу мікрофлори кишечника. Чисельність патогенних мікроорганізмів збільшується, корисні бактерії гинуть. Захворювання частіше зустрічається у дітей дошкільнят, іноді у немовлят. Дисбактеріоз у немовлят може розвинутися з-за різкого переходу з грудного вигодовування. У діточок постарше через незбалансоване або одноманітного харчування, до того ж – прийому антибіотиків. Порушення мікрофлори провокують простудні захворювання, несприятлива екологічна обстановка. Пронос при захворюванні – зеленого забарвлення зі слизом.
Вберегти малюка від дисбактеріозу можливо за допомогою обробки груди перед годуванням, стерилізуючи посуд та іграшки. Потрібно проводити регулярне вологе прибирання в місцях, де дитина найчастіше знаходиться.
Вірусні та бактеріальні інфекції
Зараження малюка недугою може статися через необроблені продукти, продукти з вичерпаним терміном придатності при спілкуванні з інфікованою особою.
Малюка турбують сильні болі в животі, блювота, зелений стілець з різким запахом, слизом. Безперервна блювота і діарея викликають зневоднення організму. Малюк блідне, кінцівки холоднеют. При симптомах виклик швидкої невідкладної допомоги обов’язковий.
Для дітей перших місяців життя зневоднення загрожує незворотними наслідками. Відновити водний баланс складно, воду немовлята п’ють погано.

Симптоми діареї у дітей
Основне завдання, що стоїть перед батьками і лікарем на першому етапі – з’ясувати причину, що викликала неприємний симптом, щоб уникнути ускладнень. Небажана забарвлення калу може супроводжуватися й іншими проявами.
Висока температура крім зеленуватого стільця іноді вказує на дизентерію або сальмонельоз. Для сальмонельозу характерні випорожнення темно-зеленого кольору з пластівцями і сильна блювота.
Частий рідкий зелений стілець з піною без температури – ознака дисбактеріозу. Слиз і кров у випорожненнях при дизентерії.
Батько повинен враховувати супутні симптоми. Часто спостерігаються:
- Капризи, плач без сліз, занепокоєння.
- Порушення сну.
- Відмова від прийому їжі.
- Сеча темного кольору.
- Біль в животі.
Найстрашніше при діареї – зневоднення. Кожен батько повинен знати ознаки дегідратації, щоб прийняти своєчасні заходи, уникнути важких наслідків. Зневоднення у дітей проявляється у вигляді:
- Сухості губ і язика, шкірних покривів, кіл під очима.
- Частого пульсу, перегрівання.
- Відсутність сечі, сеча в малій кількості із неприємним запахом.
- Маса тіла знижується.
- Западання тім’ячка у немовляти.
Поява ознак має стати вагомим приводом для виклику швидкої медичної допомоги. Стан дитини при сильному зневодненні стабілізується в стаціонарі.
Дії батьків
Виникла тривога через стан малюка часом заважає приймати правильні рішення. Дорослі не знають, що робити в ситуації, якщо така виникла вперше.
В першу чергу батьки повинні викликати лікаря. До приходу лікаря можливо полегшити стан дитини. Потрібно пропонувати чисту негазовану воду. Дітям, яким виповнився рік, краще не дозволяти тимчасово їсти. Немовлят на грудному вигодовуванні годування рекомендовані для поповнення втраченої рідини, але час прийому їжі потрібно скоротити.
Не рекомендовано давати дитині лікарські препарати без консультації лікаря. Можна дати Смекту, якщо кваліфікована допомога прибуде не скоро. Щоб збити температуру, якщо вона перевищила 38,5 градусів, дати ібупрофен. При кишкових інфекціях застосування антибіотиків обов’язково, але самостійно давати препарати малюкові не варто.
Діагностика та лікування
Лікар визначить причину виникнення діареї після бесіди з батьками та огляду малюка. Можливо, для уточнення діагнозу доведеться пройти додаткове обстеження.
Діагностика
По одному тільки кольором і консистенції стільця складно визначити справжню причину діареї. Іноді лікар призначає аналізи:
- Бактеріальний аналіз калу – інформативна методика дослідження визначає патогенні мікроорганізми.
- Загальний аналіз крові.
- Аналіз крові на кишкові інфекції.
- Загальний аналіз сечі.
- Аналіз калу.
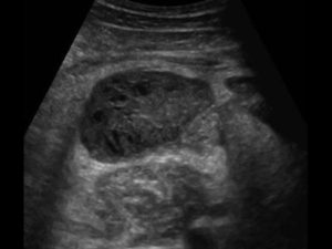
УЗД очеревини немовляти
Можливо, причина криється в патології внутрішніх органів. У зазначеному випадку лікар призначає ультразвукову діагностику органів черевної порожнини.
Лікування
Коли причина зеленого проносу з’ясовано, лікар призначає лікування. При дисбактеріозі може бути призначений Лінекс, Біфідумбактерин, Ентерол. Основним завданням є усунення захворювання, що спричинило симптом.
Кишкова інфекція потребує комплексного лікування. Для початку тип збудника виявляють за допомогою аналізів. Потім призначають дієту. У складних випадках проводиться антибіотикотерапія. Доктор призначає бактерицидні препарати.
Для заповнення водно-сольового балансу може бути призначений Регідрон.
Якщо випорожнення викликані отруєнням, буде потрібно прийом адсорбуючих препаратів: Смекти, Активованого вугілля.
Не рекомендовано зупиняти пронос медикаментами без призначення лікаря, з калом виходять шкідливі токсини.
Маля в перший місяць життя, швидше за все, потребу в медикаментозному лікуванні не буде, так як причини зелених випорожнень саме в згаданий період не є патологією.
Дітям старше 1,5 років рекомендована сувора дієта, з якої виключається газована вода, рослинна їжа в необробленому вигляді та жирні страви.
Батьки не повинні займатися самолікуванням, існує високий ризик ускладнень, якщо терапія проводиться неправильно.
Профілактичні заходи
Попередити захворювання легше, ніж лікувати. Батькам необхідно знати правила, які допоможуть уникнути розладу шлунково-кишкового тракту, як наслідок – зеленого проносу.
- Годуючій мамі необхідно дотримуватися правильного харчування. Уникати вживання алергенних продуктів. Не їсти жирну, гостру їжу. Не приймати лікарських препаратів, не порадившись з лікарем.
- Новонароджений малюк на штучному вигодовуванні страждає діареєю, якщо суміш не підходить. Проконсультувавшись з педіатром, можна підібрати відповідне харчування.
- Зеленуватий пронос може свідчити про непереносимості продукту. Тому прикорм треба вводити поступово і обережно невеликими порціями в пюреподібному стані.
- Батьки не повинні облизувати дитячі пустушки, ложки. Таким чином, інфекція проникає від дорослої людини до малюка.
- Раціон харчування дошкільнят повинен бути збалансованим.
- Дітям старшого віку можна пояснити правила особистої гігієни. Стежити за тим, щоб руки були чистими, а в рот не потрапляли сторонні предмети.
Кожен відповідальний батько хвилюється за здоров’я малюка. І таке явище, як зелений пронос, хвилює дбайливих батьків. Головне, не піддаватися паніці, а з’ясувати причину симптому, повідомивши про те, що відбувається педіатра. Лікар обов’язково допоможе встановити захворювання, що спричинило симптом, і призначить лікування для дитини у відповідності з віком та особливостями організму.


