Карієс молочних зубів у дітей розвивається у віці 3 – 4 років. У цей віковий період діти зловживають шоколадом, цукерками, що містять у великій кількості молочну кислоту, що руйнує структуру зуба. Захворювання вражає переважно центральні різці зверху і знизу, а також моляри. Що таке карієс молочних зубів. Причини, симптоми, лікування розглянемо детальніше.
Причини виникнення карієсу
Не завжди причиною розвитку патології є часте вживання дитиною солодощів. Недуга може виникнути із-за:
- Спадкового фактора;
- Неправильного формування зубів в період внутрішньоутробного розвитку;
- Патологій вагітної (анемія, токсикоз, куріння, вживання алкогольних напоїв);
- Порушення обміну речовин у дитини;
- Недостатнє надходження в організм дитини кальцію і фторовмісних продуктів;
- Слабкою емалі та аномалій структури зуба.
Ознаки карієсу молочних зубів
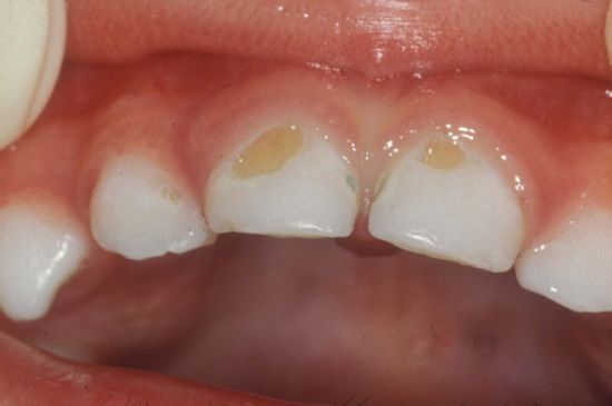
Каріозні зуби помітно відрізняються від здорових. При гігієнічному туалеті або огляді порожнини рота можна помітити темні точки на зубі. Затемнення можуть бути як поодинокі, так і множинні.

Дуже часто зуб зовні здоровий і на ньому тільки одна темна точка мінімального розміру. Мами відкладають візит до стоматолога на потім або зовсім не беруть до уваги невинне затемнення.
Зуб уражений карієсом, стрімко руйнується і навіть одна темна точка може призвести до видалення зуба. Крім того, карієс поширюється на здорові зуби і надалі, доведеться лікувати не один, а кілька зубів одночасно.
Чим небезпечний карієс
Посилаючись на безневинність захворювання, мами не поспішають з візитом до стоматолога. Дуже даремно! Крім естетичного дискомфорту, карієс – вхідні ворота будь-якої інфекції. З током крові інфекція потрапляє у внутрішні органи. Дитина, що страждає карієсом схильний розвитку:
- Гломерулонефриту;
- Пієлонефриту;
- Хронічного тонзиліту;
- Частих ангін;
- Гаймориту;
- Фронтити;
- Пародонтиту.

Інфекція, проникаючи через канали хворого зуба, потрапляє в кров. Кров, забезпечуючи живлення органів і тканин, доставляється до клітин інфікованою. Розвивається запальний процес в органах, що призводить до серйозних хвороб.
Лікування і профілактика карієсу у дітей
Лікувати карієс необхідно і чим раніше порожнину рота дитини буде санирована, тим менше ймовірність проникнення інфекції в організм малюка.
Лікування стоматолог проводить. Боятися лікаря не варто і не в якому разі не можна налаштовувати дитину негативно. Зараз досить широко застосовують анальгезуючі засоби для зниження чутливості зуба. Молочний зуб не має нервових закінчень, тому болючість під час лікування буде мінімальна.

В терапевтичних цілях, для збереження зубів стоматологи пропонують нанести на уражені зуби розчин, що містить срібло. З цього приводу виникає багато дискусій. Хтось стверджує, що така процедура, навпаки прискорює процес руйнування зубів, комусь нанесення срібла допомогло зупинити розвиток карієсу. У будь-якому випадку, вирішує мама, що краще для її малюка.
Щоб зуби дитини були здорові необхідно:

Тепер ви знаєте що таке карієс молочних зубів. Причини, симптоми, лікування. Для попередження карієсу у дітей необхідно щорічно проходити профілактичний огляд порожнини рота. Виконання простих рекомендацій допоможе зберегти зуби малюка до зміни здоровими.


